Skip Menu
Continue
Call
Today
for a Free Consultation
15 Cornerstone Ct, #3A, Plantsville, CT 06479
(860) 263-0401
Home
About Us
Our Office
New Patients
Smile Gallery
Dental Videos
Testimonials
Our Doctors
Neil Salesky, DMD, MAGD
Services
Cosmetic Dentistry
Crowns & Caps
Dental Bridges
Dental Cleanings
Dental Fillings
Dentures
View All
Dental Health
Contact
Contact Us
Request Appointment
Smile Gallery
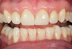
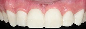
Before
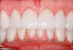
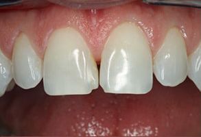
After
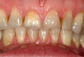
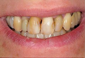
Before
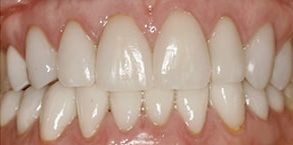
After
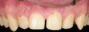
Before
After
Before
After
Before
After
Before
After
Before
After
Before
After
Before
After
15 Cornerstone Ct, #3A
Plantsville, CT 06479
(860) 263-0401
Appointment
Contact Us